学会公众号

【省三院·临床服务】与时间赛跑,两例主动脉夹层患者的精准救治

  • 发布时间: 2026-01-23 11:31:00
  • 【字号:
  • 阅读: 2493



  • 近日,我院胸外科血管外科团队成功救治两例急性主动脉夹层患者。患者经120转运至急诊内科后,胸痛中心立即启动标准化流程,开通绿色通道,迅速排除急性冠脉综合征,明确主动脉夹层诊断。随后,胸外科、血管外科团队实施了个体化、精准化、微创化的复杂主动脉病变腔内修复术。围手术期间,急诊内科、心血管内科、放射医学影像科、麻醉科等多学科紧密协作,为患者的成功救治提供了关键保障。

    01


    第一例患者确诊为“胸主动脉夹层合并夹层动脉瘤”,病变范围广泛。手术团队创新应用定制化打孔支架技术,术中精准定位并选择性保留重要侧支循环。该技术不仅彻底隔绝了主动脉扩张病变,更通过支架微孔有效维持了截瘫好发区域(T8-L1节段对应脊髓根动脉)的脊髓血供,显著降低了长段覆膜支架覆盖所引发的脊髓缺血及截瘫风险,为弥漫性主动脉疾病治疗提供了更安全有效的解决方案。

    图片

    第一例患者术前CT

    图片

    第一例患者术中造影

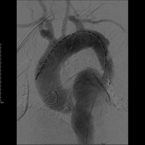
    02


    第二例患者诊断为胸腹主动脉夹层(Debakey Ⅲ型,逆向撕裂至主动脉弓部)。治疗团队先行采取非手术方案促进血肿吸收,再限期行腔内修复术。术中运用院内新技术“支架体外开窗”,成功保留了左侧锁骨下动脉血供;同时,腹主动脉覆膜支架采用术中自制微孔设计,在实现真腔扩大的同时,进一步减少了对脊髓血供的影响。

    图片
    图片

    第二例患者术前CT

    图片
    图片

    第二例患者术中造影

    主动脉夹层起病急骤、死亡率高。我院胸痛中心团队凭借多学科高效联动、标准化流程和快速反应能力,为患者赢得了宝贵的救治时间。此次新技术的成功开展,标志着我院胸外科、血管外科在复杂主动脉夹层微创治疗领域迈上新台阶,为长段病变的高危复杂主动脉夹层患者提供了安全可靠的治疗选择,也为我院胸痛中心的高质量发展奠定了坚实基础。

    云南省第三人民医院







    来源:云南省第三人民医院



    点赞:
      (0)
      分享:
      • 关于我们
      • 技术信息
      云南省医学会
      友情链接:云南建投绿美发展有限公司 - 老挝英菲迪集团